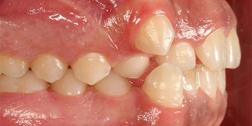
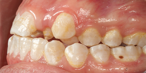
The shortest orthodontic period for perfect teeth
At Braces Hub, we understand that the journey with braces is a long one. That’s why we prioritize your comfort at every monthly visit. Our friendly staff, combined with Dr. Arif’s extensive 12-year experience, creates a welcoming community dedicated to patient satisfaction. With continuous positive feedback, our clinic stands out for its unique techniques and […]
Read more





